Acest site web foloseste cookie-uri pentru a va imbunatati experienta. Vezi detalii despre cum sunt folosite la Politica de confidentialitate
Clinica de Ortodontie si Stomatologie pentru copii
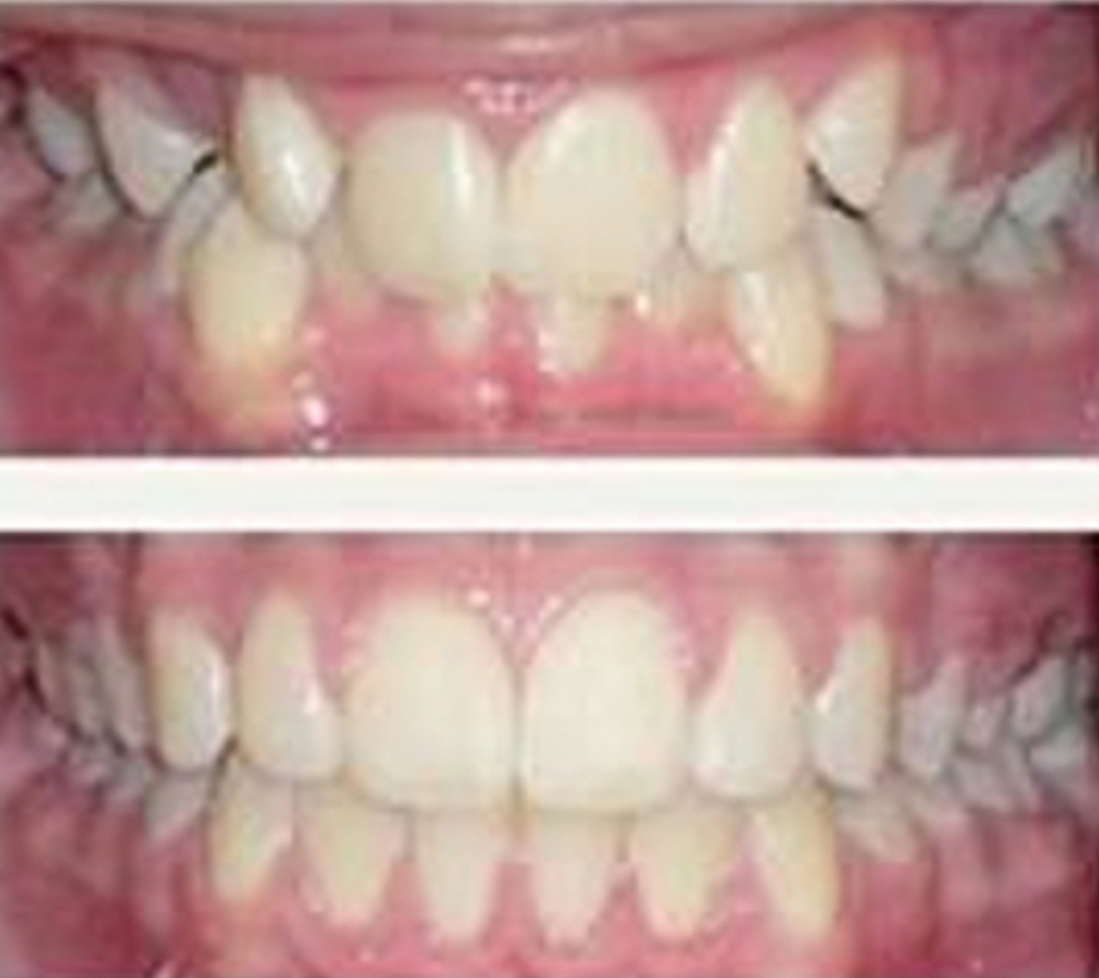
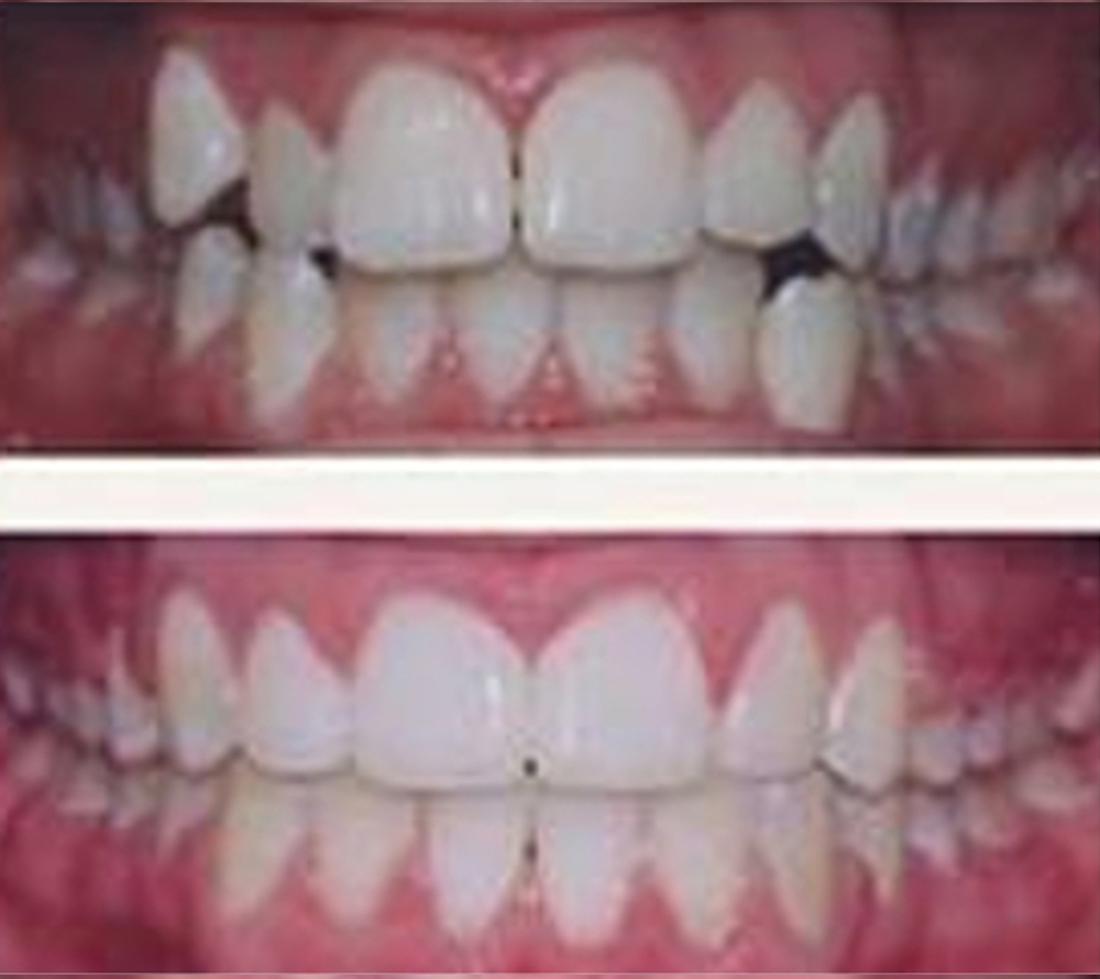
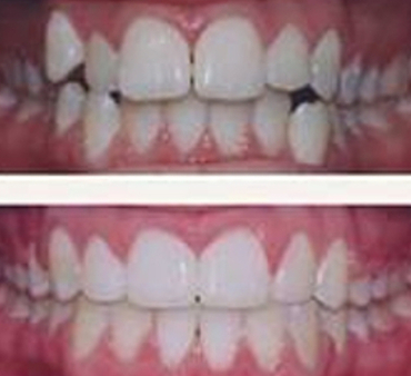
Ortodontia rezolva probleme legate de inghesuiri dentare, angrenaje inverse, rotatii dentare, dinti nealiniati pe arcade, etc. Malpozitiile dentare afecteaza si fizionomia, astfel incat tratamentul ortodontic este direct implicat in rezolvarea problemelor de estetica dentara cat si a celor functionale. Astfel, malpozitiile dentare pot afecta negativ articulatia temporo-mandibulara, pot provoca dureri la masticatie; alinierea dentara usureaza semnificativ igiena dentara, fiind redus astfel riscul de carie.
Tratamentul ortodontic este posibil la orice varsta. Singura conditie necesara este ca sa nu existe boli generale sau acestea sa fie compensate ( de exemplu in cazul diabetului glicemia sa fie in limite normale o perioada mai lunga de timp). O alta contraindicatie o reprezinta afectiunile care anchilozeaza (sudeaza) dintii de os sau care modifica comportamentul normal al unor celule osoase specializate (cazuri foarte rare). La copii tratamentul ortodontic este in general inceput in timpul dentitiei mixte, adica dupa varsta de 6-7 ani. In cazul descoperirii unor obiceiuri vicioase care pot deforma arcadele dentare si dauna alinierii dintilor, exista unele aparate care pot contracara aceste obiceiuri si implicit pot preveni aparitia unor probleme ortodontice mai grave in viitor.
mai mult...
Muscatura adanca
In mod obisnuit, insotit de o suprapunere, o muscatura adanca apare atunci cand incisivii superiori acopera prea mult dintii inferiori. Un aparat dentar fix sau mobil poate fi folosit pentru a corecta aceasta problema.
Ocluzie inversa
Ocluzia inversa poate fi cauzata de dinti nealiniati sau dimensiuni inegale ale arcadelor. Este important sa gasiti cauza corecta a ocluziei inverse, deoarece solutiile pot varia, de la utilizarea pur si simplu a aparatelor dentare sau a operatiilor asupra maxilarului.
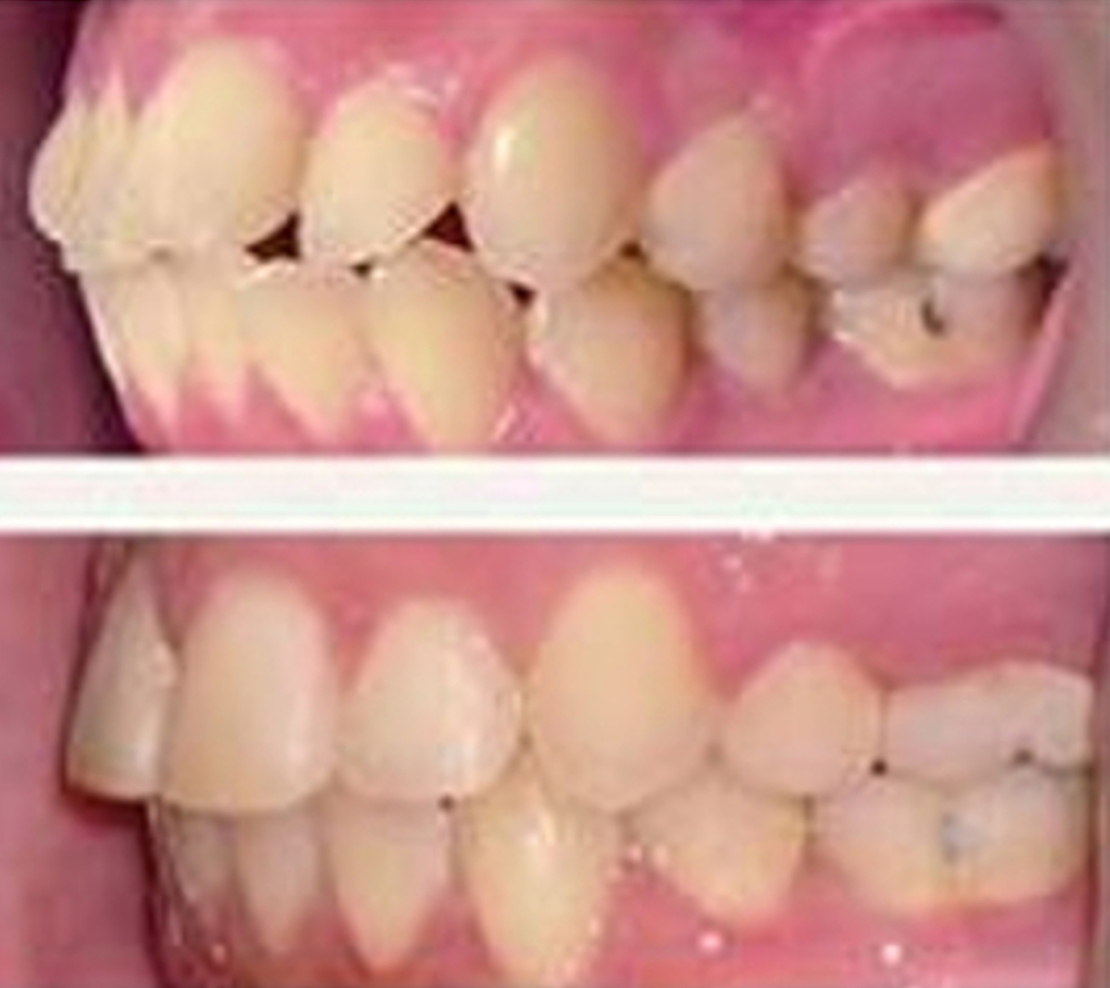
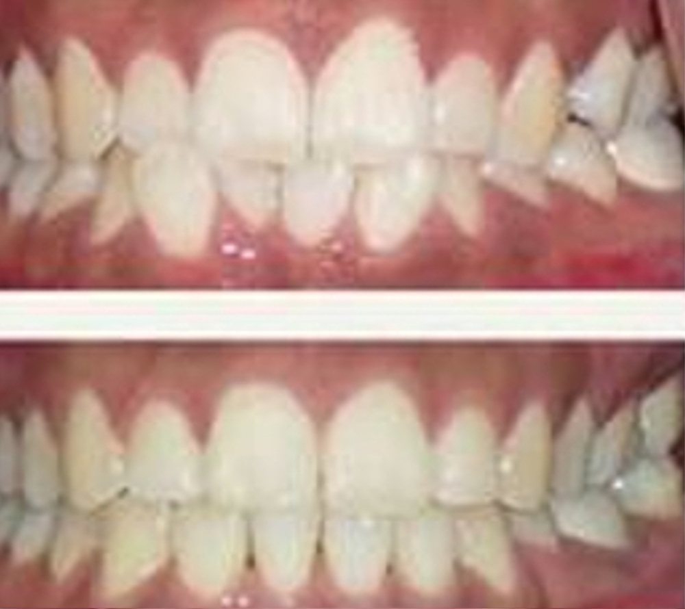
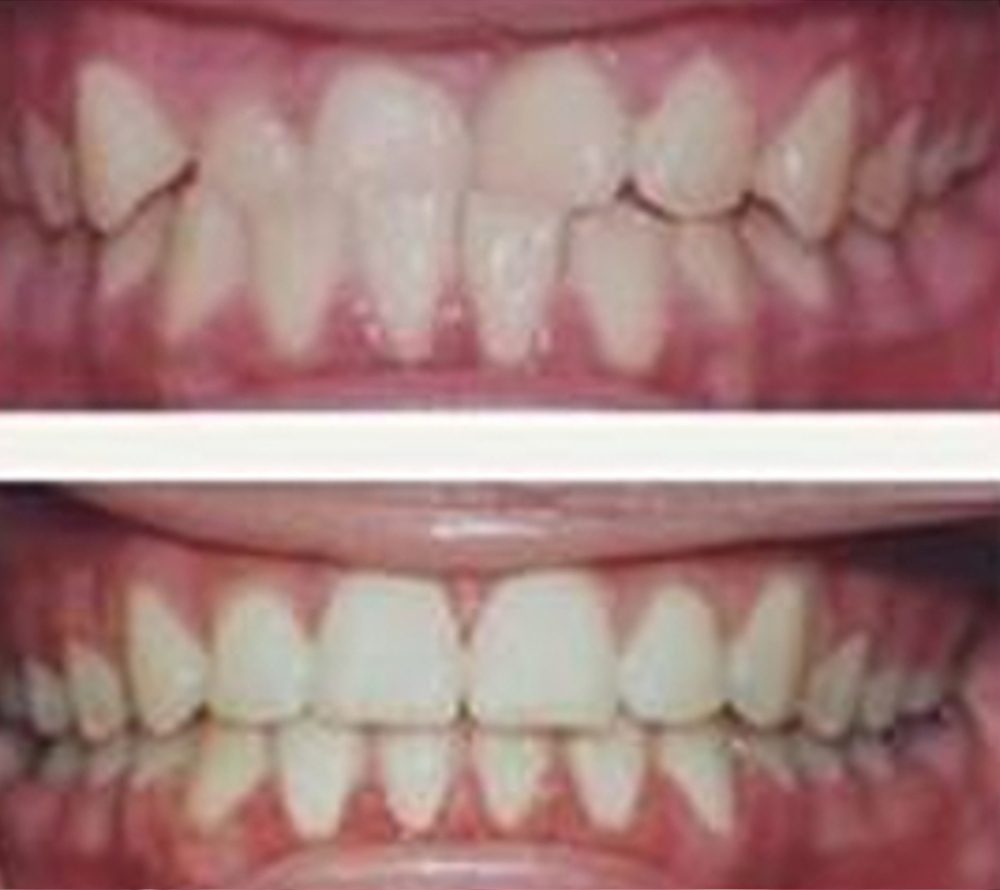
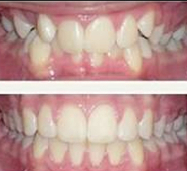
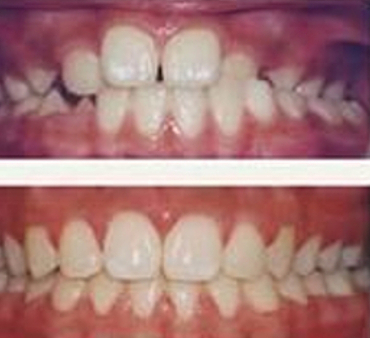
Dinti inghesuiti
Cea mai frecventa problema ortodontica. Aceasta poate fi rezolvata prin extinderea arcadelor dentare, extragerea dintilor, reducerea interproximala (reducerea dintilor selectati la o cantitate mica de smalt) sau o combinatie a acestor metode.
Ocluzie incrucisata
O situatie foarte frecventa care apare la in mod obisnuit la dintii superiori . In mod obisnuit,sunt corectate prin expansiunea maxilarului superior, o procedura simpla la copii si adolescenti, una dificila la adulti mai in varsta. Se recomanda consultul unui medic ortodont pentru a rezolva aceasta problema.
Ocluzie deschisa
Orice situatie in care dintii superiori si cei inferiori nu se intalnesc. Ocluziile deschise sunt, de obicei, cauzate de obiceiurile orale vicioase, cum ar fi sugerea degetului mare, utilizarea excesiva a suzetei sau impingerea limbii. Pot fi corectat cu bracketi, dar obiceiurile vicioase trebuie sa fie corectate cu aparatele dentare, in caz contrar ocluziunea deschisa va recidiva.
Proalveolie
In unele situatii in care exista un numar prea mare de dinti pentru un anumit set de arcade, in loc sa se roteasca dintii, se vor deplasa inainte si se vor impinge buzele inainte cu ei. In mod obisnuit, pentru a remedia acest defect vor fi necesare extractii pentru a crea spatiu suficient.
Dinti cu spatiere
Uneori dintii sunt prea mici pentru a umple intregul maxilar. Din fericire, aceasta este o situatie oarecum mai simpla pentru a fi corecta decat o inghesuire dentara. Alegerea corecta va oferi un zambet si un profil mult mai bun.
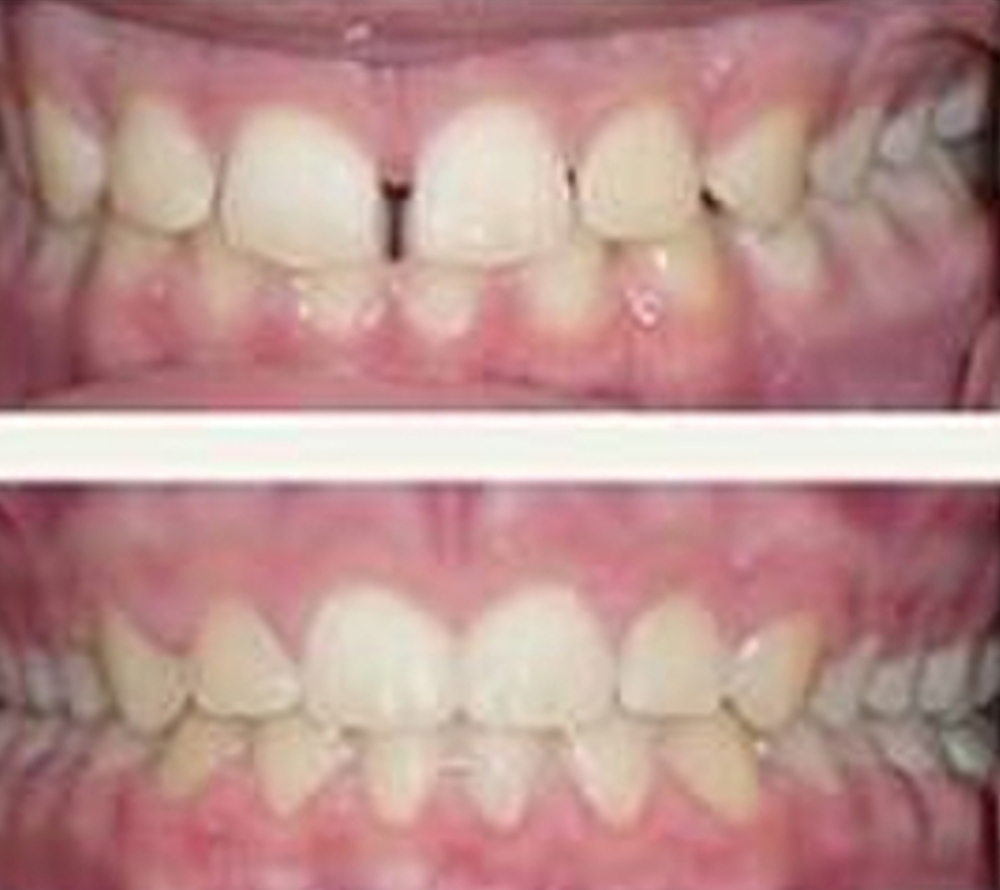
Linia mediana deviata
Ar putea fi greu sa observati la prima vedere, dar linia dintre dintii frontali din fata nu se potriveste cu linia dintre dintii inferiori din fata. Exista multe cauze pentru acest lucru. Desi este ideal pentru a corecta acest lucru, nu este intotdeauna 100% posibil fara a compromite tratamentul in alta parte.
Albirea dentara iti da mai multa incredere, mai mult succes in cariera, o viata mai activa si sanatoasa. Alege serviciile ortodontice de albire dentara pentru un zambet stralucitor.
mai mult...
La o consultatie, medicul specialist ortodont iti poate recomanda un aparat dentar, estetic sau metalic potrivit pentru a avea un zambet frumos, sanatos si dinti drepti. Pentru programari, ne gasiti la clinica de ortodontie Ortho Select din Timisoara.
mai mult...
Clinica dentara Ortho Select din Timisoara va ofera servicii de stomatologie pentru copiii din Timisoara: consultatii, extractie dinti de lapte, terapia cariilor, inhalosedare copii. Scopul nostru este sa va ajutam copilul sa zambeasca cu incredere.
mai mult...
Practic invizibil, Damon Clear are avantaje clare fata de bracketii traditionali si aparatele dentare traditionale. Damon Clear face parte din sistemul inovator Damon, care combina bracketii pasivi auto-ligaturanti si o tehnologie avansata de constructie, dovedite clinic pentru a alinia dintii rapid si confortabil, cu un zambet real si rezultate faciale cu adevarat spectaculoase.
mai mult...
Deschide noi usi spre eficienta, flexibilitate clinica, confort si estetica pacientului cu noul Damon Q, complet nou; reprezinta un pas important in dezvoltarea tehnologiei de auto-ligaturare pasiva, care ofera mult mai mult decat dinti drepti.
mai mult...
Sistemul Damon nu se refera numai la bracketii si firele revolutionare, este un mod cu totul nou de a trata pacientii. Tratamentul traditional necesita utilizarea expansiunii palatale sau extractia unor dinti (in principiu 4 premolari pentru a se rezolva inghesuirile). Aceasta abordare este deseori inconfortabila si dureaza mai mult. Cu Sistemul Damon obtinem un zambet plin, natural si sunt special concepute pentru a imbunatati rezultatul facial al fiecarui pacient.
mai mult...
Reprezinta un aparat ortodontic fix cu aparatura ortodontica alternativa de frumusete clasica. Spre deosebire de cele din urma, dispozitivele linguale si arcurile sunt montate pe spatele dintilor, ceea ce face aparatul practic invizibil atunci cand zambesti sau vorbesti. Lantisoarele linguale sunt dispozitive metalice si sunt personalizate pentru fiecare pacient. Una dintre tehnicile cele mai avansate si utilizate pe scara larga este lingualul, incorporarilele Incognito sunt fabricate din aliaj de aur, in laboratoare din Germania.
mai mult...
Invisalign este o metoda proprie de tratament ortodontic care foloseste o serie de gutiere transparente si detasabile pentru dinti, utilizate ca o alternativa la bracketii dentari traditionali metalici. Gutierele sunt complet transparente, deci mult mai greu de observat decat bracketii traditionali. Acest lucru face ca metoda sa fie deosebit de populara in randul adultilor care doresc sa isi indrepte dintii fara a se uita la aparatele dentare traditionale de metal, care sunt in mod obisnuit purtate de copii si adolescenti. In plus, gutierele sunt comercializate ca fiind mai confortabile decat bracketii. Datorita naturii detasabile a dispozitivului, alimentele pot fi consumate fara a avea gust metalic.
mai mult...
Simplicitate
- Deschiderea si inchiderea usoara a dispozitivului de auto-ligaturare
- Configurarea personalizata de lipire indirecta.
Eficienta
- Bracketii sistemului Insignia sunt proiectati pentru a reduce la minimum numarul de vizite necesare pentru un tratament ortodontic eficient.
Myobrace este o abordare ortodontica fara bracketi care va ajuta sa va indreptati dintii si corectarea musculaturii faciale. Tratamentul se refera la obiceiurile viciose orale care sunt cauza reala a dintilor inghesuiti. Timpul de tratament al myobrace este de obicei comparabil cu timpul necesar pentru tratamentul cu bracketi, dar in loc sa fie fixat pe dinti, aparatele Myobrace sunt mobile si necesita doar una pana la doua ore de utilizare in fiecare zi, plus peste noapte in timpul somnului.
mai mult...Clinica dentara pentru copii, cu inalte standarde de calitate, specializata în aparate dentare si stomatologie pentru copii. La clinica noastra de stomatologie si ortodontie (aparate dentare) pentru copii din Centrul Timisoarei va oferim :mai mult..
Ortodontie pentru copii si adulti, servicii si tratamente ortodontice: consultatii pentru aparate dentare, aparate dentare fixe ortodontice , aparate dentare mobile, aparate dentare estetice, aparate dentare invizibile Invisalign, aparate dentare personalizate prin sistem Insignia cu bracketi Damon, inhalosedare pentru copii in Timisoara
Stomatolog pentru copii in Timisoara: consultatii stomatologice , identificarea placii dentare , periaj dentar , extractie dinti de lapte, fluorizare dentara , terapia cariilor,aparate dentare pentru copii , aparate dentare pentru adulti, sigilare dinti pemanenti , supravegherea eruptiei dintilor de lapte, consultatie pentru aparate dentare pentru copii , servicii si tratament ortodontic in Timisoaramai mult...
Stomatologie pentru copii Timisoara. Tratamente si servicii stomatologice pentru copii: consultatii stomatologice, identificarea placii dentare, periaj dentar , extractie dinti de lapte, fluorizare dentara , terapia cariilor, aparate dentare pentru copii, sigilare dinti pemanenti , supravegherea eruptiei dintilor de lapte, consultatie pentru aparate dentare pentru copii , albire dentara Timisoara
Albirea dentara iti da mai multa incredere, mai mult succes in cariera, o viata mai activa si sanatoasa. Alege serviciile ortodontice de albire dentara pentru un zambet stralucitor.mai mult...

Ortho Select Timisoara este o clinica de ortodontie si stomatologie pentru copii care are in componenta sa o ochipa de medici specialisti ortodonti dedicati care te vor ajuta, pe tine sau pe copilul tau, sa aveti un zambet frumos cu dinti drepti si sanatosi si dinti albi.
Va punem la dispozitie servicii ortodontice si aparate dentare de calitate pentru copii si adulti in Timisoara!
Consultatii ortodontice
Aparate dentare estetice pentru adulti
Aparate dentare pentru copii plata in rate
Aparate dentare digitale invizibile
Bracketi Damon
Albire dentara cu tehnologie Philips Zoom!
Piata Victoriei nr 1/b
Timisoara, Romania
Programarile se fac la numarul de
Telefon:0786 110 000
Albire dentara Timisoara
Detartraj profesional